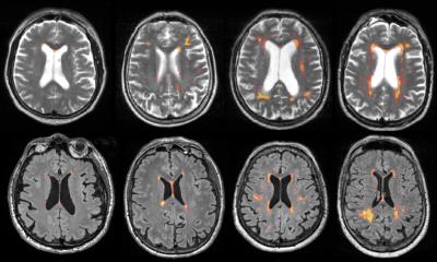
Ils sont très courants chez les personnes âgées et sont liés à une pensée plus lente dans la vie quotidienne, par exemple. Sur la base des données de plus de 2800 participants à l’étude à l’âge de 65 ans, Frauke Beyer du Max Planck Institute for Cognitive and Neurosciences (MPI CBS) à Leipzig, en Allemagne, et Stephanie Debette de l’Université de Bordeaux en France, où de telles lésions se produisent dans le cerveau et comment elles sont liées à des accidents du trait et au démentie.
Les chercheurs présentent leurs résultats dans le journal «Alzheimer’s & Dementia».

